審美歯科について
― 美しく、自然な口元へ ―
美しく整った口元は、表情の印象を大きく変え、自信につながります。
虫歯がなくても、歯の着色や変色、形の不揃いが気になり、人前で笑えなくなる方も少なくありません。
審美歯科とは、歯や口の“機能”を大切にしながら、
色・形・並び・調和など“見た目の美しさ”も追求する歯科治療です。
デンタルチームジャパンでは、患者様一人ひとりのご要望やお悩みに合わせて、
専門医×技工士×衛生士のチーム医療で、自然で美しい仕上がりをめざす治療を行っています。
審美歯科の主な治療メニュー
■ ホワイトニング
歯を削らずに、薬剤の力で歯を内部から白くする治療です。結婚式・イベント前のトーンアップにも人気。
こんな方におすすめ
- 黄ばみを改善したい
- 削らずに白くしたい
- 自然な明るさの白さが欲しい
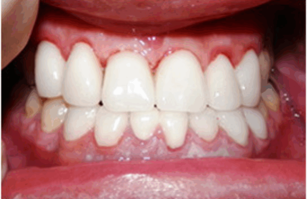
■ セラミック治療(クラウン・インレー)
透明感のあるセラミック素材を使用し、天然歯のような美しい見た目を再現します。
金属アレルギーの心配もなく、経年変化にも強いのが特徴です。
特徴
- 天然歯に近い美しい質感
- 汚れがつきにくく清潔
- 長期的に変色しにくい
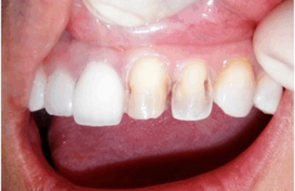
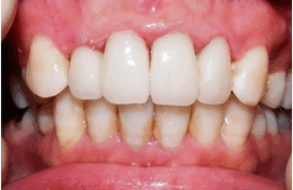
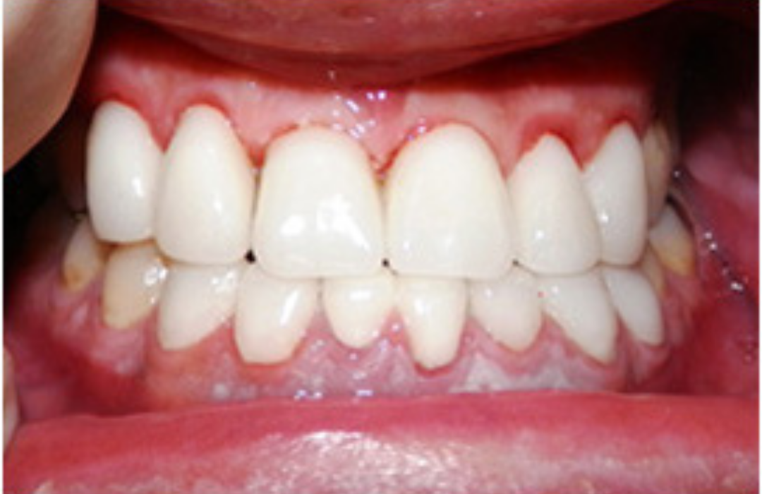
■ ラミネートベニア
歯の表面をごく薄く削り、セラミックの薄い板(シェル)を貼る治療です。
短期間で前歯の見た目を大きく改善できます。
こんなお悩みに
- 前歯のすき間
- 表面の凹凸・形が気になる
- 長期間白さをキープしたい
■ トゥースクリーニング(歯のクリーニング)
歯周病やむし歯の原因となる「歯垢・歯石・着色」を専用機器で除去。
本来の歯本来の白さと清潔感を取り戻します。
こんな方におすすめ
- 歯の表面の黄ばみ・黒ずみが気になる
- コーヒー・紅茶・タバコの着色が気になる
- ホワイトニング前にきれいにしたい
- 口臭・清潔感が気になる






まとめ
審美歯科は、単に「白くする」「形を整える」というだけではなく、
機能性と美しさのバランスを追求する“総合的な口元の治療” です。
デンタルチームジャパンでは、
- 専門医による精密な診断
- 経験豊富な技工士との連携
- 衛生士による専門ケア
を組み合わせることで、患者様それぞれの理想に合わせた最適な治療をご提案しています。
自然で美しい笑顔を取り戻したい方へ。まずはお気軽にご相談ください。