― デンタルチームジャパンの矯正治療 ―
■ ワイヤー矯正(メタルブラケット)
金属製のブラケット(矯正装置)を歯の表側に専用の接着剤で装着し、
そこにワイヤーを通して歯を計画的に移動させる、最も一般的な矯正方法です。
ブラケットは金属製のため薄くても耐久性が高く、
効率よく歯を動かせる という大きな利点があります。
近年は接着技術が進化したことで、
ブラケットを小型化でき、従来よりも目立ちにくい矯正治療 が可能になりました。
デンタルチームジャパンでは、
矯正学会の専門医が治療を担当 し、
さらにインプラント・審美治療などを含む チーム医療体制 により、
総合的なサポートをご提供しています。
■ 現代は「歯並びの乱れ」が増えている時代です
近年、お子様の歯並びが悪くなるケースが急増しています。
これは、現代の食生活で柔らかい食べ物が増え、
顎が十分に成長しないまま永久歯が生えるため といわれています。
大人の方では、
・口元を美しく整えたい
・笑顔に自信を持ちたい
という目的で矯正治療を選ばれる女性も増えています。
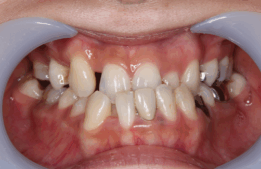
■ 歯並びが悪いことで起こる問題
歯並びの乱れは、見た目だけの問題ではありません。
● 歯垢が溜まりやすい
● むし歯・歯周病のリスクが高まる
● 発音がしづらい
● かみ合わせの不調和
● 頬や舌を噛みやすい
● 口元を気にして笑えない・隠してしまう
このように、機能面・健康面・メンタル面 にも影響し、
日常生活にストレスを抱える原因になることもあります。
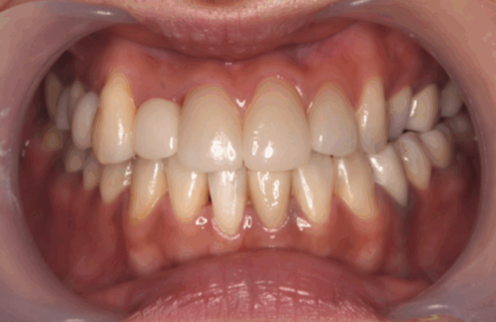
■ デンタルチームジャパンの矯正治療の特徴
デンタルチームジャパンでは、
お子様・女性・ご年配の方まで幅広い患者様に矯正治療を行っており、
豊富な症例実績があります。


▼ 取り扱い矯正装置
① 従来のワイヤー矯正(メタルブラケット)
効率が高く、幅広い症例に対応可能。
② 目立ちにくいマウスピース矯正(インビザライン・クリアアライナー)
・透明で目立ちにくい
・取り外し可能
・普段の食事・歯磨きがそのままできる
・ビジネスシーンでも違和感が少ない
患者様のライフスタイルや希望に合わせ、最適な治療プランをご提案いたします。