30代女性|残っている歯に負担をかけないための「全体矯正+インプラント治療」症例
※本ページは当院で行った一症例のご紹介です。治療結果や経過には個人差があり、同様の結果をお約束するものではありません。すべて自由診療です(保険適用外)。
患者様のお悩み
症例ビフォーアフター
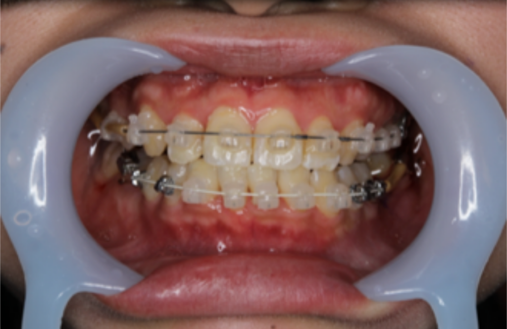
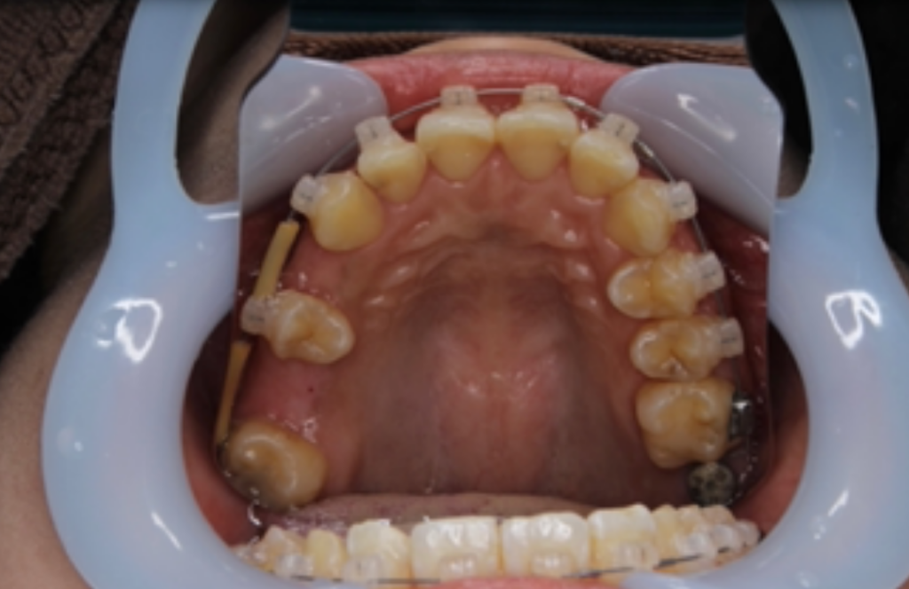
口腔内写真
レントゲン写真
※効果には個人差があります
初診時の状態・診断
精密検査の結果、以下の問題が確認されました。
- ・64┴7、5┬6が破折しており保存困難(抜歯が必要)
- ・下顎前歯に歯列不正があり、噛み合わせが不安定
- ・欠損部にインプラントを行うにはスペース不足、歯の傾き、咬合バランスの乱れといった複数の課題が存在
この状態でインプラントのみを行うと、噛み合わせが安定せず、インプラントや残存歯に過度な負担がかかる可能性が高いと判断しました。そのため、上下全体の矯正治療を先行し、その後インプラント治療を行う包括的治療が必須と診断しました。
患者様のご希望
- ・遠方のため、通院回数をできるだけ集約したい
- ・これ以上、残っている歯に負担をかけたくない
- ・短期的な改善ではなく、将来を見据えた長期安定性を重視したい
治療方針・選択した治療
まず 64┴7、5┬6を抜歯 したうえで、上下全顎矯正によって歯並び・噛み合わせを整えることを最優先としました。インプラントは一度骨と結合すると動かすことができないため、先に矯正で歯の傾きやスペースを整え、最適な位置・角度で埋入する流れが最善策と判断しました。
治療内容の概要
| 治療方法 | 全顎矯正+インプラント治療(並行) |
|---|---|
| 矯正装置 | ワイヤー矯正(上下全顎) |
| インプラント | 欠損部位に複数本埋入 |
| 特徴 | 残存歯への負担を最小限に抑えた包括治療 |
実際の治療内容・治療の流れ
① 矯正治療フェーズ(全顎矯正)
期間:2018年1月〜2020年11月
目的:インプラントスペースの確保、歯軸の改善、全体の咬合基盤の構築。遠方からの通院負担に配慮し進めました。
② インプラント治療フェーズ
矯正と並行して実施。抜歯部にインプラントを埋入し、矯正と同時進行させることで上部構造装着まで十分な期間を確保しました。
③ 最終仕上げ・補綴設計
- ・噛み合わせの最終調整とインプラント上部構造装着
- ・矯正終了後は リテーナー(マウスピース) を使用し後戻りを防止
- ・整えた噛み合わせに合わせ、咬合バランスを最適化
費用(自費・税込)
矯正治療費:約 92万円
インプラント治療費(複数本):約 138万円
総額:約 230万円
※治療本数・設計により費用は変動します。
矯正治療に伴うリスク
- 歯の移動に伴う痛み・違和感・後戻りのリスク
- 装置による口内炎・擦れ・歯根吸収の可能性
- 神経への影響が出る可能性
インプラント治療に伴うリスク
- 手術後の痛み・腫れ・内出血・神経麻痺のリスク
- 骨との結合不全やインプラント周囲炎
- 喫煙・全身疾患による成功率低下
※治療開始前に「矯正治療承諾書」「インプラント治療承諾書」にて詳しく説明しています。
術後経過・メンテナンス
矯正終了後も リテーナー(マウスピース) を使用し、後戻りを予防しています。現在も 3〜6ヶ月に1回の定期メンテナンス を継続されています。
- ・歯肉・インプラント周囲の状態確認
- ・清掃状態のチェックと専門的クリーニング
- ・噛み合わせの確認
を行い、長期的な安定をサポートしています。
担当医からのコメント
本症例では、下顎前歯の矯正によって噛み合わせの基礎を整えたうえで、上下全顎矯正とインプラント治療を並行して進めました。矯正担当医、インプラント担当医、院内ラボが連携し、咬合・審美性・埋入位置を総合的に評価することで、機能性・長期安定性を重視した包括治療を実現しています。
こんな方におすすめです
無料カウンセリングのご案内
お口の状態や噛み合わせの確認、治療の進め方、費用、リスクまで丁寧にご説明します。納得して治療を選択いただけるようサポートいたします。
24時間受付対応(完全予約制) 無料カウンセリングを予約する