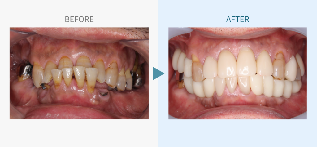
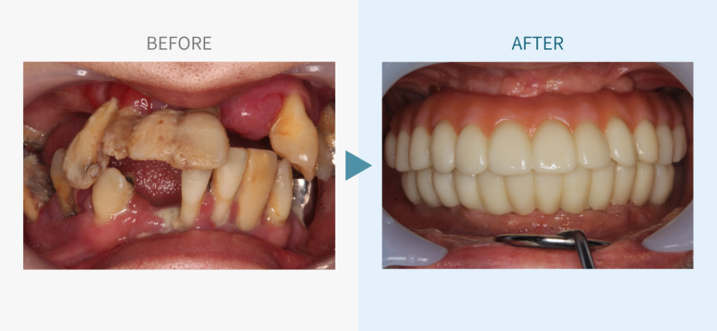
デンタルチームジャパンでは、サイナスリフト(上顎洞底挙上術)や骨造成など、他院で「骨が足りない」と断られた難症例にも対応しています。
こうしたケースは一般的に大学病院以外では難しく、大学で治療を受ける場合は費用が当院の倍以上になることもあります。
私たちは、難症例に関する治療法を学会でも発表しており、その豊富な実績と技術力が評価され、全国から患者様が来院いただいております。
こちらではその一部の症例についてご紹介します。
※本ページは当院で行った一症例のご紹介です。治療結果や経過には個人差があり、同様の結果をお約束するものではありません。すべて自由診療です(保険適用外)。






























